腹痛忍一忍?65岁阿姨胆囊烂到发黑
2025-10-21 15:45
来源:防城港市中医医院
【字体:大 中 小】打印
肚子疼!怎么办?
很多人认为,
这种常见的小毛病,
解决它so easy,
很多“硬汉”
觉得忍一忍“风平浪静”,
不然,上个厕所就ok了,
再或者,
揉揉肚子、吃吃药,
就完美解决。

但实际上,
这种小毛病
有可能是潜在的大问题。
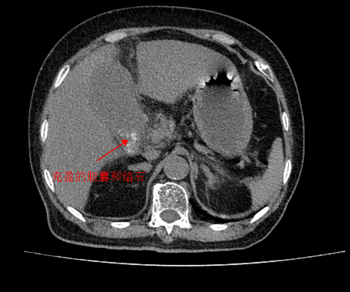
65岁的汤阿姨,就诊前两天,突感右上腹疼痛,以为是吃坏肚子了,并未重视,但随着时间的推移,汤阿姨腹痛不但没有缓解,反而更严重了。连续两天的持续胀痛、恶心呕吐,让汤阿姨深感煎熬,实在受不了才到我院就诊。经检查,被确诊为“胆囊结石伴胆囊炎”,感染指标严重超标,情况十分危急,需立即手术。

肝胆腺体外科主任马天如副主任医师结合患者病史及相关检查,综合评估认为,患者胆囊已出现坏疽,有急诊手术指征。汤阿姨得知病情后十分紧张——本身患有高血压和糖尿病,她担心手术风险大、恢复困难。

在了解到汤阿姨的顾虑后,科室团队全面细致地评估,在与汤阿姨及家属充分沟通后,团队为汤阿姨实施了“腹腔镜下胆囊切除术”。术中发现胆囊已明显坏疽,团队在腹腔镜下精准操作,顺利切除病变胆囊。术后,结合中西医结合康复疗法,汤阿姨第2天即可下床活动,第5天康复良好,顺利出院,整个住院时间仅为5天。
文件下载:
关联文件:

当前位置:
桂公网安备 45060202000004号