靶向定位精准制导 穿刺微创守护“生命中枢”丨我院成功救治脑干出血患者
我要收藏
公共资源调用站点
文章分享
近日,一名脑干出血患者复查时,专程向我院神经外科二病区医护团队送上一面印着“杏林圣手 仁心仁术”的锦旗,致谢团队以精准救治助其重获健康。

此前,该患者突发脑干出血,生命危在旦夕。脑干,作为人体至关重要的“生命中枢”,掌控着呼吸、心跳等核心生命功能,曾是神经外科领域公认的“手术禁区”。医学临床数据显示,一旦脑干出血量超过5毫升,患者就可能迅速陷入昏迷,生命安全受到严重威胁。保守治疗往往难以逆转病情,血肿持续压迫脑干可能导致损伤进一步加重;唯有实施精准手术清除血肿、减轻压迫,才能为患者争取生机。
然而,脑干手术的难度超乎想象:传统开颅手术不仅操作复杂,还会对患者造成较大创伤,术后恢复难度高;而血肿穿刺术虽为目前最微创的治疗方式,却对操作精准度有着严苛要求——哪怕是细微偏差,都可能损伤正常脑干组织,加重患者病情,甚至影响后续救治效果。因此,能熟练开展此项高难度手术的医院与医生,在行业内并不多见。
我院神经外科张弘强主任医师,凭借其独创的靶向定位技术,已成功救治近50例脑干出血患者,手术精准度与救治成功率始终保持在较高水平。针对该患者的病情,张弘强主任带领医疗团队迅速制定方案:以靶向定位技术为核心,结合神经导航系统的精准引导与可视内镜的实时观察,开展微创穿刺手术。即便面对患者血肿形态特殊(存在拐弯情况)的复杂难题,团队仍凭借丰富经验与精湛技术,精准置入引流管,成功为患者清除8毫升血肿——既实现了“毫米级”的手术精准度,又最大限度地降低了手术对患者的创伤,为后续恢复奠定了坚实基础。

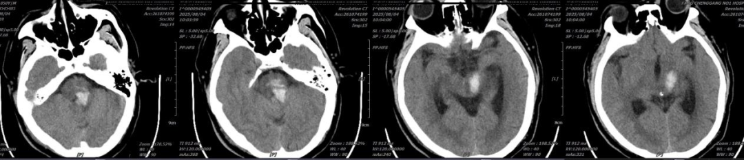
▲术前CT检查

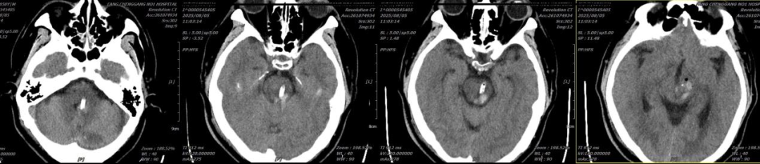
▲术后CT检查

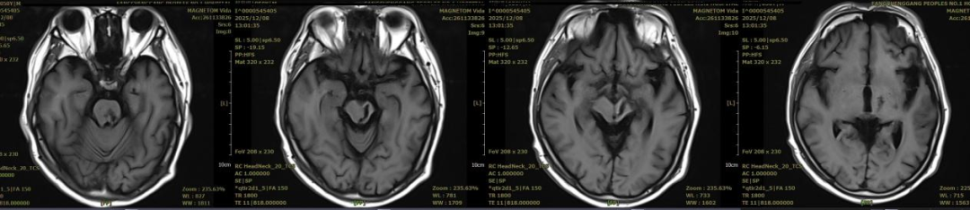
▲此次MR复查
患者恢复进程远超预期:在术后第5天便成功清醒,各项生命体征逐渐平稳,顺利转出重症监护室;经过科室规范的康复治疗与护理,患者逐步恢复生活能力,最终康复出院。
关怀并未“断线”——医务人员持续通过电话随访、线上指导等方式,跟进患者恢复情况,及时提供专业的康复训练建议与用药指导,全力保障患者出院后的康复效果。复查时,患者精神状态良好,生活已基本恢复正常,其家属多次向医护人员表达感谢,对医院的诊疗技术与服务质量给予高度认可。

此次脑干出血患者的成功救治,不仅是我院神经外科临床诊疗实力的生动体现,更凸显了科室技术成果的行业价值。张弘强主任医师独创的靶向定位技术,凭借“高精准度、高成功率、微创化”的显著优势,已多次受邀在全区乃至全国神经外科专业学术会议上进行分享:2024年11月,在广西壮族自治区人民医院主办的相关学术年会中,团队分享“如何实现脑干血肿的精准穿刺”;2025年9月,又在“颅脑创伤救治新进展学习班”上,详细讲解“靶向定位联合可视内镜在脑干血肿穿刺中的精准操作与临床应用”,为推动神经外科领域重症救治技术发展提供了宝贵经验。
未来,我院神经外科将继续以临床需求为导向,精进技术、沉淀经验,守护本地患者健康,推广精准诊疗方案,为神经重症救治领域发展贡献力量。
文件下载:
关联文件:

当前位置:
桂公网安备 45060202000004号