新春护安康|我院骨科成功完成高龄寰枢关节脱位侧块螺钉内固定术
我要收藏
公共资源调用站点
文章分享
新春将至,团圆在即。为让高龄患者摆脱病痛、安心过年,我院脊柱外科团队迎难而上,成功为一名高龄寰枢关节脱位患者实施寰枢椎侧块螺钉内固定术,以高精尖技术打通“生命禁区”,用医者担当守护万家团圆。
寰枢关节位于颅颈交界区域,解剖结构复杂、血管神经密布,曾被称为脊柱外科的“生命禁区”。寰枢关节脱位可直接压迫脊髓,轻则颈部剧痛、活动受限,重则肢体瘫痪、呼吸衰竭,病情凶险、进展迅速。



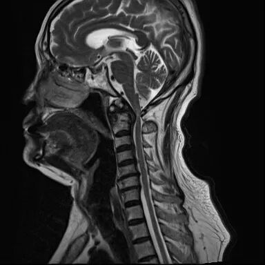
▲术前
此次接受手术的患者年事已高,基础疾病较多,身体耐受度低、手术风险显著高于普通患者。若保守治疗,脱位难以复位,脊髓压迫持续加重;若手术治疗,则对术者精准操作、麻醉管理、围手术期护理均提出极高要求。
为最大限度保障患者安全与疗效,文昌院区骨科一区团队联合麻醉科、心血管内科、老年病科等多学科进行全面评估,反复优化手术方案,制定周密的应急预案。最终采用后路寰枢椎侧块钉棒系统内固定+植骨融合术:在影像导航辅助下,毫米级精准置钉,完美避开椎动脉与神经根;稳妥复位脱位关节,彻底解除脊髓压迫;采用坚强内固定+植骨融合,实现短期稳定、长期融合的理想效果。
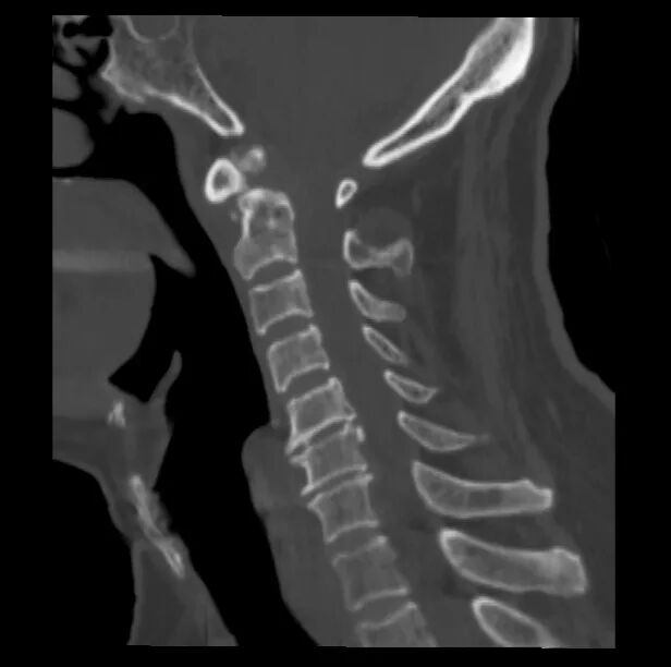
▲术后
手术全程顺利、创伤小、出血少,术后患者颈部疼痛明显缓解,肢体功能逐步改善,生命体征平稳,康复进展顺利。老人及家属连连致谢:“赶在春节前治好病,终于能过个安稳年了!
此次高龄危重上颈椎手术的圆满成功,充分体现了我院文昌院区骨科一区在复杂颅颈交界区畸形、脱位、外伤等领域的领先技术实力,以及多学科协作救治危重患者的综合能力。

春节期间,文昌院区骨科一区全体医护人员将坚守岗位,以精湛技术、优质服务,为患者的脊柱健康筑牢“健康屏障”、撑起“平安伞”,让每一份团圆不因病痛缺席,让更多家庭安享温馨、笑迎新春,在万家灯火中共护安康,喜迎祥瑞新年。
文件下载:
关联文件:

当前位置:



桂公网安备 45060202000004号